Research 10/16/2025 NIPS: New treatment for peritoneal metastases Chemotherapy drugs are administered via a port system in the abdominal cavity. The MHH is one of the first clinics in Germany to establish this… Read more
Research 10/15/2025 How cells trick viruses International study involving the MHH shows how a viral attack turns into a highly effective cellular defence Read more
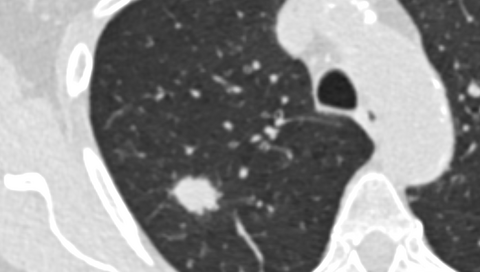
From the MHH 10/10/2025 MHH and KRH establish ‘Hannover Lung and Thorax Centre’ The close cooperation between the clinics is intended to ensure the best possible care for patients – and to strengthen clinical research. Read more
Study and teaching 10/07/2025 Semester has started: MHH and AStA welcome more than 600 First Semester Students MHH and AStA welcome new students to ten study programmes. New this year is the Master's programme in Clinical Psychology and Psychotherapy. Read more
Health 09/26/2025 MHH ranked among the ‘World's Best Smart Hospitals’ for the first time Hannover Medical School impresses in Newsweek's Smart Hospital Ranking, achieving top positions in nine specialist areas. Read more
Study and teaching 09/24/2025 From an exotic subject to a modular degree programme The biochemistry programme has been offered at MHH in cooperation with Leibniz University for 55 years. In 1970, Hanover was one of the first… Read more
Research 09/22/2025 AI-assisted medicine: Minister Mohrs visits CAIMed research centre How artificial intelligence can provide advanced support to doctors and nursing staff in hospitals. Read more
Research 09/17/2025 MHH and the Hanover Region become partners Region Hannover and MHH will collaborate even more closely in the future in the areas of research, teaching, continuing education and training. Read more
From the MHH 09/16/2025 Internship in Austria: MFA trainee gains experience with Erasmus Constantin Brockmann supported families with transplanted children and discovered new perspectives. Read more
From the MHH 09/09/2025 Parenting influences mothers' mental health MHH researchers investigate factors influencing mothers' mental health. Inpatient mother-child interventions have a positive effect on mental illness. Read more